петък, 14 септември 2012 г.

Шийно ребро мкб Q76.5

Шийно ребро мкб Q76.5




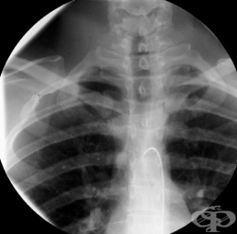
Шийно ребро - изображениеПо време на ембрионалното развитие на гръбначния стълб се оформят 29 чифта ребра, от които 12 чифта оформят гръдния кош, а останалите претърпяват обратно развитие. Ð’ шийния дял тази редукция започва отгоре – надолу, и ако не настъпи докрай в долния сегмент на шийния дял, се оформят един или два чифта добавъчни ребра.


Клинична картина:


В повечето случаи тази аномалия протича безсимптомно. Оплакванията обикновено се появяват в зряла възраст при професии, свързани повече с напрежение на горните крайници. Проявите на шийното ребро са болки и парестезии по хода на n. ulnaris. Болката се засилва при напрежение и е тъпа и пронизваща. Болните съобщават, че често изпускат предмети, ръката им отмалява, става студена, установява се акроцианоза, хипестезия, вегетативни промени.


Диагноза:


Палпаторно може да се опипа шийно ребро като костно възвишение в супраклавикуларната ямка.  Рентгенографично се вижда шийното ребро най-често едностранно или двустранно.


Диференциална диагноза:


Ð’ диференциално – диагностично отношение трябва да се мисли за шийна остеохондроза, дискова херния, периартрити, плексити, различни видове артрити на раменната става. Това показва, че поставянето на точна диагноза на шийно ребро е трудно.


Лечение:


При по-незначителни оплаквания се опитва консервативно лечение: физиотерапия, топлинни процедури, аналгетици, витамини. При упорити случаи се прибягва до оперативно лечение.



Още за: Шийно ребро | мкб Q76.5

от framar.bg



Шийно ребро мкб Q76.5

Няма коментари:

Публикуване на коментар